Deep Learning for Brain Extraction from MRI scans
Background and Motivation
The human brain undergoes structural changes over the life of the individual, not only due to development, but possibly also due to disease. Specially designed research programs have aggregated MRI data, which makes it possible to study the changes in the structure of the brain over time.
In order to derive reliable results from MRI data, a pipeline constituting multiple steps is required. One of these steps is Brain Extraction (also known as Skull Stripping), where the skull and other unwanted artifacts are removed from the scan; leaving behind only the brain. This allows the researchers to further process the brain scans without interference from the unwanted parts of the original scan.
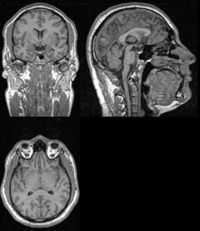
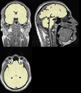
Figure 1: Left – Slice of an MRI scan with previews from Coronal (top left), Sagittal (top right), and Axial (bottom) planes. Right – The corresponding segmentation masks.
Our approach
We consider brain extraction as an instance of the Semantic Segmentation problem from the field of Computer Vision. That is, a function that implements brain extraction receives a scan as input and returns a binary mask where each pixel is either marked as brain or unwanted background.
Our segmentation solution utilizes fully convolutional neural networks. We are experimenting with,
- 2D convolutions: In this case a single input instance comprises a slice from one of the three planes of a 3D MRI scan.
- 3D convolutions: A single instance in this case is a 3D section from the scan.
We use supercomputing resources for distributed training and inference.
Even though this an on-going project, the results so far are very encouraging. We are currently working on further improving the results so that the solution can be deployed in production. The major difficulty is the lack of high-quality labeled data.
Our collaboration partners
This project is being conducted in collaboration with Dr. rer. medic. Peter Pieperhoff from the INM-1.
Related projects at the Simulation Lab Neuroscience
- hpc4neuro Python library
- Deep Learning software for Supercomputers
- Deep Learning for segmentation of 3D-PLI images
- Tutorial: Getting started with Deep Learning on Supercomputers
SimLab Contact
Dr. Kai Krajsek