Hauptinhalt überspringenNavigation überspringenFooter überspringen
  • Presse  
  • Intranet  
de en 
Website
  • Aktuelles
    • News
      • ▾Alle Nachrichten
      • ▾Pressemitteilungen
      • ▾Wissenschaftliche Highlights
      • ▾Presseinformationen abonnieren
    • Forschungsmagazin effzett
      • ▾Besserwissen
      • ▾Woran forschen Sie?
      • ▾effzett Download und Bestellung
      • ▾effzett Print-Ausgabe abonnieren
    • Veranstaltungen
      • ▾Alle Veranstaltungen
      • ▾Wissenschaft online
    • Medien
      • ▾Übersicht Multimedia
      • ▾Broschüre Daten, Fakten, Menschen
      • ▾Forschungsmagazin effzett
      • ▾Magazin Endeavours
      • ▾Social Media
      • ▾Jülich Blogs
    • Newsletter
      • ▾Alle Ausgaben
      • ▾Newsletter abonnieren
    • Kontakt Unternehmens­­kommunikation
    • Forschung
      • Unsere Forschung
        • ▾Information
        • ▾Energie
        • ▾Bioökonomie
        • ▾Forschungs­infra­struktur
        • ▾Forschungs­­gruppen
        • ▾Wissenschaft­licher Nach­wuchs
      • Helmholtz-Forschungsbereiche
        • ▾Helmholtz Information
        • ▾Helmholtz Energy
        • ▾Helmholtz Earth and Environment
        • ▾Helmholtz Matter
      • Output & Impact
        • ▾Strukturwandel
        • ▾Patente und Lizenzen
        • ▾Wissenschaftliche Highlights
        • ▾Publikationsportal JuSER
        • ▾Forschungsdatenbank Jülich DATA
    • Institute
      • Ernst Ruska-Centrum (ER-C) für Mikroskopie und Spektroskopie mit Elektronen
        • ▾Physik Nanoskaliger Systeme (ER-C-1)
        • ▾Materialwissenschaft und Werkstofftechnik (ER-C-2)
        • ▾Strukturbiologie (ER-C-3)
      • Institute for Advanced Simulation (IAS)
        • ▾Theoretische Physik der Lebenden Materie (IAS-2)
        • ▾Theorie der starken Wechselwirkung (IAS-4)
        • ▾Computational and Systems Neuroscience (IAS-6)
        • ▾Zivile Sicherheitsforschung (IAS-7)
        • ▾Datenanalytik und Maschinenlernen (IAS-8)
        • ▾Materials Data Science and Informatics (IAS-9)
      • Institut für Bio- und Geo­wissen­schaften (IBG)
        • ▾Biotechnologie (IBG-1)
        • ▾Pflanzenwissenschaften (IBG-2)
        • ▾Agrosphäre (IBG-3)
        • ▾Bioinformatik (IBG-4)
        • ▾Computergestützte Metagenomik (IBG-5)
      • Institut für Biologische In­formations­prozesse (IBI)
        • ▾Molekular- und Zellphysiologie (IBI-1)
        • ▾Mechanobiologie (IBI-2)
        • ▾Bioelektronik (IBI-3)
        • ▾Biomakromolekulare Systeme und Prozesse (IBI-4)
        • ▾Strukturbiochemie (IBI-7)
        • ▾Technische und Administrative Infrastruktur (IBI-TA)
      • Institute of Climate and Energy Systems (ICE)
        • ▾Energiesystemtechnik (ICE-1)
        • ▾Jülicher Systemanalyse (ICE-2)
        • ▾Troposphäre (ICE-3)
        • ▾Stratosphäre (ICE-4)
      • Institute of Energy Technologies (IET)
        • ▾Grundlagen der Elektrochemie (IET-1)
        • ▾Helmholtz-Institut Erlangen-Nürnberg für Erneuerbare Energien (IET-2)
        • ▾Theorie und computergestützte Modellierung von Materialien in der Energietechnik (IET-3)
        • ▾Elektrochemische Verfahrenstechnik (IET-4)
      • Institute of Fusion Energy and Nuclear Waste Management (IFN)
        • ▾Plasmaphysik (IFN-1)
        • ▾Nukleare Entsorgung (IFN-2)
      • Institut für Kernphysik (IKP)
        • ▾Experimentelle Hadronenstruktur (IKP-1)
        • ▾Experimentelle Hadronendynamik (IKP-2)
        • ▾Kernphysikalische Großgeräte (IKP-4)
      • Institute of Energy Materials and Devices (IMD)
        • ▾Structure and Function of Materials (IMD-1)
        • ▾Werkstoffsynthese und Herstellungsverfahren (IMD-2)
        • ▾Photovoltaik (IMD-3)
        • ▾Helmholtz-Institut Münster: Ionenleiter für Energiespeicher (IMD-4 / HI MS)
      • Institut für Neuro­wissen­schaften und Medizin (INM)
        • ▾Strukturelle und funktionelle Organisation des Gehirns (INM-1)
        • ▾Molekulare Organisation des Gehirns (INM-2)
        • ▾Kognitive Neurowissenschaften (INM-3)
        • ▾Physik der Medizinischen Bildgebung (INM-4)
        • ▾Nuklearchemie (INM-5)
        • ▾Gehirn und Verhalten (INM-7)
        • ▾Computational Biomedicine (INM-9)
        • ▾JARA-Institut Brain structure-function relationships (INM-10)
        • ▾JARA-Institut Molecular neuroscience and neuroimaging (INM-11)
      • Institut für nachhaltige Wasserstoffwirtschaft (INW)
        • ▾Katalytische Grenzflächen (INW-1)
        • ▾Katalysatormaterialien (INW-2)
        • ▾Reaktionstechnik (INW-3)
        • ▾Prozess- & Anlagentechnik chemische Wasserstoffspeicherung (INW-4)
      • Institute of Technology and Engineering (ITE)
        • Jülich Centre for Neutron Science (JCNS)
          • ▾Neutronenstreuung und weiche Materie (JCNS-1)
          • ▾Quantenmaterialien und kollektive Phänomene (JCNS-2)
          • ▾Neutronenanalytik für die Energieforschung (JCNS-3)
          • ▾Neutronenmethoden (JCNS-4)
        • Jülich Supercomputing Centre (JSC)
          • Peter Grünberg Institut
            • ▾Quanten-Theorie der Materialien (PGI-1)
            • ▾Theoretische Nanoelektronik (PGI-2)
            • ▾Quantum Nanoscience (PGI-3)
            • ▾Integrated Computing Architectures (PGI-4)
            • ▾Elektronische Eigenschaften (PGI-6)
            • ▾Elektronische Materialien (PGI-7)
            • ▾Quantum Control (PGI-8)
            • ▾Halbleiter-Nanoelektronik (PGI-9)
            • ▾JARA-Institut Energy-efficient information technology (PGI-10)
            • ▾JARA-Institut Quanten Information (PGI-11)
            • ▾Quantum Computing Analytics (PGI-12)
            • ▾Functional Quantum Systems (PGI-13)
            • ▾Neuromorphic Compute Nodes (PGI-14)
            • ▾Neuromorphic Software Ecosystems (PGI-15)
            • ▾Technische und administrative Infrastruktur (PGI-TA)
          • Geschäfts­führende Direktor:innen
          • Innovation
            • Transfer für Forschende
              • ▾Startpunkt Transfer
              • ▾Projekte finanzieren
              • ▾Entrepreneurship & Start-up
              • ▾Trainingsprogramme
              • ▾Team kennenlernen
            • Transfer für Unternehmen
              • ▾Technologien nutzen
              • ▾Kooperation mit Unternehmen
              • ▾Ausgründungen
            • Transfer in die Gesellschaft
              • ▾Schülerlabor JuLab
              • ▾Wissenschaft online
              • ▾Besucherbetreuung
              • ▾Jülich Blogs
              • ▾Social Media
              • ▾Probandensuche
            • Service & News
              • ▾Kontakt Innovation
              • ▾Häufige Fragen
              • ▾Erfolge und News
              • ▾Innovationsmagazin Endeavours
          • Karriere
            • Stellenangebote
              • Benefits
                • Einstieg als Professional in der Wissenschaft
                  • Einstieg als Doktorand oder Doktorandin
                    • Einstieg als Student oder Studentin
                      • Einstieg als Schülerin oder Schüler und zur Ausbildung
                        • Wissenschaftsunterstützung
                          • Informationen zur Bewerbung
                            • Wir als Arbeitgeber
                              • Stimmen unserer Mitarbeitenden
                                • Events & Termine
                                  • Women's Job Journey – Aspire Equality
                                    • Vorstandspositionen und Stellen für Geschäftsbereichsleitungen
                                    • Über uns
                                      • Wer wir sind
                                        • ▾Leitung und Organisation
                                        • ▾Unsere Menschen
                                        • ▾Wir in der Helmholtz-Gemeinschaft
                                      • Wofür wir stehen
                                        • ▾Exzellenz
                                        • ▾Interdisziplinarität
                                        • ▾Internationalität
                                        • ▾Forschungsethik
                                        • ▾Nachhaltigkeit
                                        • ▾Chancengerechtigkeit, Diversity und Inclusion
                                        • ▾Compliance (Hinweisgebersystem)
                                        • ▾Talentmanagement
                                      • Kontakt & Besucherinfos
                                        • ▾Anfahrtsbeschreibung
                                        • ▾Campusplan & -App
                                        • ▾Das Forschungszentrum besuchen
                                        • ▾Zentrale Ansprechpartner
                                        • ▾Gästehaus
                                        • ▾Offizieller Campusstore des FZJ
                                    /
                                    Aktuelles
                                    /
                                    News
                                    /
                                    Meldungen
                                    /
                                    2025
                                    /
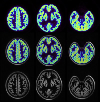
                                    Hirn-Scans auf neuem Level
                                    /
                                    FirstPET-MR-Images.jpeg

                                    FirstPET-MR-Images.jpeg

                                    FirstPET-MR-Images.jpeg
                                    Grösse: 655 kB  —  Klicken um das Bild in der vollen Größe runterzuladen
                                    Letzte Änderung: 07.04.2025

                                    Forschungszentrum Jülich GmbH

                                    Wilhelm-Johnen-Straße52428 Jülich
                                    02461 61-0
                                    02461 61-8100
                                    Anfahrt

                                    Jülich News

                                    Das monatliche Update aus dem Forschungszentrum

                                    © Forschungszentrum Jülich
                                    • Impressum
                                    • Datenschutz
                                    • Barrierefreiheit
                                    • Compliance